マウスピース(インビザライン)矯正の症例|非抜歯|開咬・オープンバイト
概要
| 患者様 | 20代女性 |
| 主訴 | 開咬を治したい。E-lineは気にならない。 |
| 施術名 | 矯正(インビザライン) |
| 治療期間 | 1年2ヶ月 |
| 治療回数 | 10-30回 |
| 費用(概算) | 66万円(税込) |
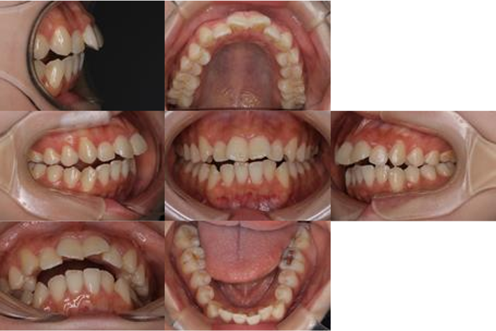
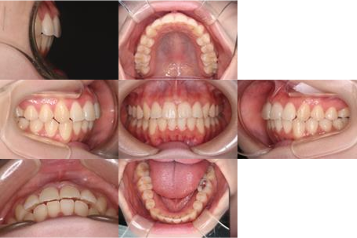
術前と術後の変化


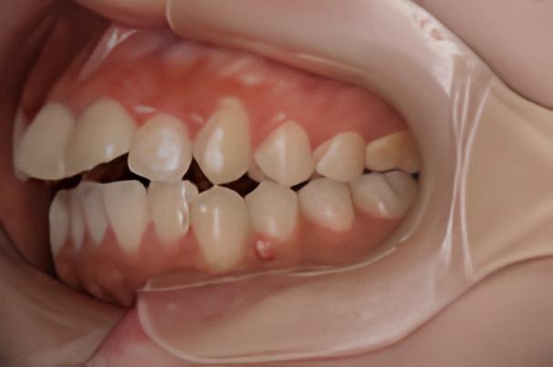
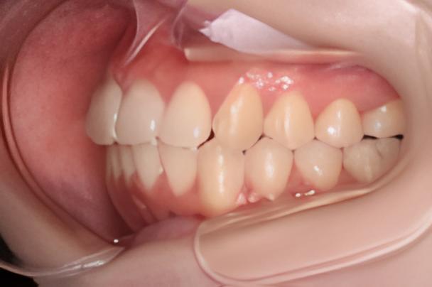
お口全体の変化


診断
開咬を主訴に来院されました。診断したところ、改善点が大きく4つに分けられます。
①出っ歯の部分(オーバージェット)
「ジェット」とは、上の前歯が下の前歯よりもどれくらい前方に突き出ているかという「前後の距離」のことです。いわゆる「出っ歯」の状態が強いということです。開咬(上下の隙間)だけでなく、前後にも距離があるため、前歯を後ろに下げながら、かつ下に降ろして噛み合わせるという「二次元的な移動」が必要になり、治療の難易度が上がります。
②前歯の開咬
これは文字通り、前歯が噛み合わずに隙間が開いている状態です。奥歯は当たっているのに、前歯(中切歯・側切歯)が上下でスカスカに空いていることです。隙間が何ミリあるかによって、インビザラインで「歯をどれだけ垂直に伸ばす(圧下・挺出)」必要があるかを判断します。重度の場合は、骨格の問題も疑われます。
③犬歯関係 II級(けんしかんけい にきゅう)
「犬歯(けんし)」は、前から3番目の尖った歯のことで、ここの噛み合わせのズレを指しています。「下の犬歯に対して、上の犬歯が本来の位置より前に出ている」状態をII級と呼びます。犬歯は噛み合わせの肝心な歯です。ここがII級だと、全体の歯車がズレている状態なので、前歯だけを閉じても根本解決になりません。奥歯全体を後ろに下げる(遠心移動)などの治療が必要になることが多いです。
④前歯の捻転(ねんてん)
「捻転(ねんてん)」とは、歯が本来の向きから回転して(ねじれて)生えていることです。前歯が斜めを向いていたり、横を向いている状態です。インビザライン(マウスピース)は、実は歯を「回転させる」動きが少し苦手です。ねじれた歯を真っ直ぐに直してから隙間を閉じないと、見た目の美しさが半減してしまいます。
治療計画
前歯が噛み合っていない(開咬)だけでなく、出っ歯気味(オーバージェット)で、犬歯に噛み合わせのズレ(II級)があり、さらにねじれた歯(捻転)があります。これらを解消し、お口元が綺麗に閉じる状態を目指しました。
IPR(歯と歯の間を削る処置)と顎間ゴムを行いながら、インビザラインで開咬を治療する計画を立てました。
治療をしながら、MFT(口腔筋機能療法)も行っていくことにしました。
施術のリスク・副作用など注意事項
- 口腔内・歯並びの状態によっては対応できない場合があります。
- マウスピース型矯正装置の長時間装着(1日20時間以上)が必須です。
- 治療計画通りに進めるためには、患者様の意志が重要になります。
- 矯正治療後の保定が不十分だと後戻り(元の位置に戻ろうとする動き)をします。
- 薬機法対象外の矯正歯科装置のため医薬品副作用被害救済制度の対象外となる場合があります。
- 自費診療(保険適用外)となります。
監修者情報

経歴
- 昭和大学歯学部卒
- ふじみ野市花の木中学校医
- 子どものその園医
- 子どものそのベビー園医
- 子どものその苗間園医
- ふじみ野市介護認定審査会審査員
- ふじみ野市介護保険運営審議会委員
- 歯科医師臨床指導歯科医
- マウスガード認定指導医
- 日本歯科医師会所属
- 日本スポーツ歯科医学会所属
- 前ふじみ野市歯科医師会会長
- 現在に至る